Periodoncia

Periodoncia
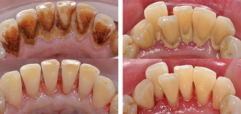
La periodoncia es la rama de la Odontología que trata las enfermedades de las encías y del hueso que sostiene los dientes. Y es que las enfermedades de las encías como la gingivitis y periodontitis son de las causas más comunes de pérdida de dientes, y su control es fundamental.
Las enfermedades más comunes tratadas por la periodoncia son la gingivitis y la periodontitis. La primera es aquella que afecta a las encías, los tejidos blandos que protegen los dientes. La segunda, más compleja, es la que provoca infecciones en el hueso que sujeta los dientes y otros tejidos como el ligamento periodontal y el cemento radicular.
Los factores que favorecen la evolución de gingivitis a periodontitis son:
- Bacterias con mayor capacidad patogénica
- Factores genéticos
- Estrés
- Tabaquismo
- Enfermedades sistémicas inflamatorias (diabetes, osteoporosis, sobrepeso, etc.).
- Malos hábitos de higiene bucal
- Piezas dentarias mal posicionadas
- Empastes mal ajustados
